Может ли воспалиться лимфоузел из-за зуба? Подобный процесс встречается достаточно часто и связан с тем, что организм самостоятельно не справляется с патогенными микроорганизмами и дефектными клетками. При этом в капсулах-фильтрах происходит чрезмерный синтез лимфоцитов, которые помогают уничтожить бактерии, вирусы и метастазы. Если лечение не будет начато своевременно, то существуют большие риски развития нагноений. Важно знать первичную симптоматику развития воспалительного процесса в области лимфатической системы. Своевременно принятые меры помогают быстрее избавиться от проблемы.
Основные причины развития
Подчелюстная форма лимфаденита развивается при появлении воспалительного процесса в области зубов. Часто это происходит из-за удаления зубов мудрости. Причины могут заключаться и в следующем:
- Воспаление миндалин.
- Фарингит и тонзиллит.
- Стоматит и отит.
- Пародонтит и пародонтоз.
- Гнойная ангина и гайморит.
- Воспаление под коронками.
Лимфатический воспалительный процесс может появиться в ответ на инфекцию, которая проникает в кровь. Возможно развитие патологического процесса в ответ на травмирование мягких тканей и капсул-фильтров.
Лимфа из пародонта (комплекс тканей, окружающих зуб) сливается в лимфатические узлы головы и шеи
Огромную роль в развитии воспаления под подбородком играет снижение защитных функций организма. Нарушиться иммунная защита в ответ на такие заболевания, как красная волчанка, ревматоидный артрит, сывороточная болезнь и т. д. достаточно часто воспалительный процесс провоцирует возбудитель туберкулеза Коха, стрептококк, стафилококк и сифилис. Лимфатические узлы могут увеличиваться в детском возрасте, во время прорезывания молочных зубов.
Симптомы заболевания
Воспаление лимфатических узлов при стоматологических патологиях возникает постепенно. Воспалительный процесс вызывает следующие симптомы:
- Уплотнение и увеличение лимфатических капсул.
- Появление плотного бугорка, который при надавливании подвижен.
- Болезненность при пальпации, которая может отдавать в ухо и шею.
- Появляется общее недомогание и ухудшается сон.
- Повышается температура тела.
Далее клиническая картина прогрессирует. Происходит увеличение лимфатического узла в размерах, кожа над ним гиперемируется. При движениях болевые ощущения усиливаются. Жевать и проглатывать пищу становится невозможно. Во время пальпации возникает выраженная боль и дискомфорт. Температурные показатели увеличиваются, и на месте воспалительного процесса появляется сильный отек. В крови происходит увеличение уровня лейкоцитов.
Фото: шейный лимфаденит
От начала патологического процесса до перехода заболевания в острую форму проходит всего трое суток. Изменение клинической картины происходит достаточно резко. Отек может быстро распространиться по всей шее. Человек становится раздражительным и вялым, перестает нормально спать и есть.
Возможные осложнения
Если воспаляются лимфоузлы и лечение отсутствует, то существуют большие риски развития следующих осложнений:
- Флегмона. Сопровождается сильным опуханием лимфатического узла. Воспалительный процесс при этом распространяется по всей шее и переходит на находящиеся рядом лимфатические структуры. Кожа приобретает синеватый оттенок, болевой синдром обостряется, и больной утрачивает способность совершать двигательные движения челюстью. Температура тела может увеличиваться до 40 градусов.
- Воспаление окружающих тканей. При активном размножении бактерий происходит распространение инфекционного процесса. Это постепенно приводит к распаду мягких тканей.
- Опухолевое перерождение. Внутри лимфатической структуры происходит формирование конгломератов, которые постепенно сливаются между собой.
Постановка диагноза
Что делать при появлении воспаления в области лимфатических узлов после лечения зубов? Прежде чем лечить воспалительный процесс на шее и под челюстью нужно выяснить, почему воспаляется узел или узлы. Только после устранения причины можно полностью избавиться от появившихся последствий.
Если после удаления зуба мудрости произошло воспаление лимфоузла под челюстью, то следует пройти полное обследование в стоматологии. Часто этого бывает достаточно для назначения квалифицированного лечения. Опытные специалисты могут поставить верный диагноз уже после проведения визуального осмотра.
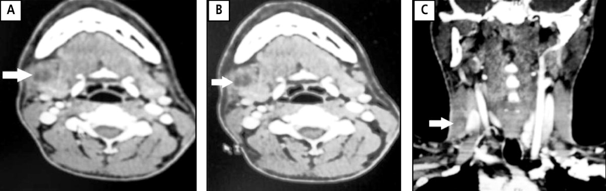
Горизонтальная (А и В) и корональная (С) компьютерная томография у 24-летнего мужчины: гнойный лимфаденит подчелюстных узлов (ниже угла правой нижней челюсти).
Для того чтобы определить сопутствующие заболевания следует сдать ряд дополнительных анализов: общий анализ крови и мочи, УЗИ, пункция для исследования жидкости. Это позволяет определить типа патогенных бактерий, степень прогрессирования заболевания и подобрать наиболее эффективный препарат для лечения.
Медикаментозная терапия
Если лезет зуб мудрости и воспалился лимфоузел или после удаления зубов начался воспалительный процесс, то в обязательном порядке нужно принять комплексные меры. Чем раньше будет начато лечение, тем больше шансов, что осложнений не возникнет.
При увеличении шейных и подчелюстных лимфоузлов, специалист может назначить следующие лечебные меры:
- Зубной врач проводит санирование ротовой полости с целью устранения воспалительного процесса в дёснах.
- При наличии абсцессов проводится их вскрытие.
- Для полоскания назначается раствор Бурова, при необходимости прикладываются примочки.
- Проводится антибактериальная терапия. Препарат подбирается индивидуально.
- Назначается витаминотерапия и физиопроцедуры (УВЧ).
В зависимости от того, сколько лимфатических капсул воспалено, принимается решение по поводу хирургического вмешательства. При воспалении одного лимфатического узла проводится щадящая коррекция – на коже делается надрез, через который вводится дренаж, после чего рана обрабатывается антисептиками. Несколько узлов требуют принятия более серьезных мер: вскрытие осуществляется под челюстью. Для оттока гнойного содержимого дренаж вводится в область жировой клетчатки. В обязательном порядке назначается длительное антибактериальное лечение.
Нетрадиционная терапия
Для того чтобы не мучиться с воспалившимися деснами, можно использовать народные средства. Если воспалился лимфоузел, то могут помочь полоскания слабым раствором марганцовки или соли. Можно готовить настои на лекарственных травах и принимать их внутрь, для полоскания и примочек.
Ни в коем случае нельзя прогревать шейные и подчелюстные лимфоузлы, даже если они будут сильно болеть. От этого капсулы-фильтры только будут больше расти и накапливать в себе гной. Спустя некоторое время при отсутствии адекватного медикаментозного лечения возможен их прорыв. Это чревато распространением внутреннего содержимого по внутренним тканям организма. В данном случае процесс осложняется и требуется проведение более серьезных лечебных мер.
Для того чтобы лимфатические узлы не воспалялись необходимо выявить истинную причину недомогания. В первую очередь нужно разобраться с зубной проблемой, как правило, это остановит воспалительные процессы в узле. Именно поэтому если сильно болит десна или появился дискомфорт в области зубов мудрости, то не следует тянуть время. Чем раньше будут приняты меры, тем больше шансов, что развития осложнений не произойдет.
Источник
Для состояния, при котором болит голова, шея и в области шеи, закладывает основу большое количество факторов: различные заболевания и расстройства, наиболее распространёнными из которых являются мононуклеоз, защемление нерва, увеличенные лимфоузлы и межпозвоночная грыжа.
Грыжа и защемление нерва являются, скорее, заболеваниями взрослого населения, в то время, как мононуклеоз – детского.
Мононуклеоз, защемление нерва, грыжа – симптомы заболеваний и их опасность
Увеличенные лимфоузлы и коварный мононуклеоз: симптомы, осложнения, лечение
За симптомами обычной ангины (у ребёнка и взрослого) может скрываться очень серьёзное заболевание, требующее госпитализации и жёсткой диеты. Не стоит недооценивать обычную боль в горле!
Среди взрослого населения с этим заболеванием (которое сопровождают такие симптомы, как боль на шее в области затылка, увеличенные лимфоузлы), сознательно или бессознательно, встретилось большинство людей. Ребёнка вирус Эпштейна-Барра, который вызывает инфекционный мононуклеоз, пока только ожидает.
Это – острое заболевание, которое иногда протекает без симптомов или с признаками обычной ангины (болит голова, шея или в области шеи, болят мышцы, повышается температура, закладывает нос, иногда болят уши, боль отдаёт в руки). Тем не менее, может иметь место тяжёлое протекание с целым рядом осложнений, требующих быстрого оказания первой помощи и госпитализации. Некоторыми из этих симптомов характерна и межпозвоночная грыжа (причём, грыжа представляет собой более опасное заболевание). Почему болезнь у кого-то возникает, а у других – нет, неизвестно. Упоминается, однако, связь с текущим состоянием защитных свойств организма.
Проявления инфекционного мононуклеоза у ребёнка
1. Высокая температура – типичный симптом, который сохраняется на протяжении всей болезни. Температура может колебаться, иногда достигает очень высоких значений. Даже после выздоровления в течение нескольких недель может сохраняться слегка повышенная температура.
2. Поражение горла – проявляется от лёгкого покраснения до тяжёлой ангины с белым покрытием. Миндалины могут быть очень увеличены, что иногда вызывает удушье.
3. Увеличенные лимфоузлы – наиболее часто – под челюстью, на шее, области подмышек, а иногда – и в области паха. Когда увеличиваются интраабдоминальные лимфоузлы, это может выглядеть, как аппендицит.
4. Увеличение селезёнки и печени – часто у ребёнка указывается на боль и чувствительность в области под рёбрами.
5. Сыпь – иногда появляются очень маленькие крапинки или пятна, как корь или скарлатина.
6. Усталость – типичный, иногда – единственный симптом.
7. Знамение Гозела – пунктирная сыпь в области мягкого нёба, которое возникает в течение первой недели.
8. «Восточное» выражение лица – особенно, веки и в области вокруг глаз.
Напоминает ангину
В то время, как у ребёнка старшего возраста и подростка для заболевания характерна высокая температура и опухшие лимфоузлы, у маленького ребёнка недуг очень часто происходят без проявления симптомов. Иногда инфекционный мононуклеоз напоминает грипп: у ребёнка присутствует кашель, болит горло, голова, иногда – шея или в области шеи, мышцы, имеет место тошнота, недомогание. Состояние ребёнка напоминает проявления гнойной ангины. Некоторые пациенты указывают на состояние, когда хрустит в области затылка.
Осложнения – почему они опасны?
Хотя осложнения встречаются редко, но каждое из них закладывает основу для развития серьёзного недуга. Наиболее распространёнными являются:
1. Воспаление сердечной мышцы: повышенная температура; болит шея; набухание вен в шейной области.
2. Воспаление лёгких: сильный кашель, наиболее ярко проявляется с утра; высокая температура; болит голова и мышцы, иногда боль отдаёт в руки и шею: слабость.
3. Заболевания печени: болит голова; желтоватый оттенок кожи; слабость и т.д.
4. Бактериальные инфекции: болит голова (часто – шея и в области шеи) – локализация индивидуальна, болит любая часть головы: справа, слева, на лбу или выше лба и т.д.; повышается температура; болят мышцы, уши и голова около ушей; закладывает нос; симптомы характерны, как для ребёнка, так и для взрослого человека; часто проявляются по утрам.
5. Отит: высокая температура; болит ухо, иногда – голова и шея (справа или слева, выше поражённого уха); симптомы характерны, как для ребёнка, так и для взрослого, хотя недуг более характерен для детского возраста; болит, чаще всего, вечером, утром симптомы утихают.
6. Проблемы с носовыми пазухами: повышенная температура; болит голова, иногда – шея, сводит мышцы шеи (справа или слева, с поражённой стороны); симптомы проявляются, как утром, так и вечером.
7. Некоторые неврологические сложности и кровотечения: болит голова и шея (сводит мышцы шеи, иногда хрустит в шее, как будто присутствует защемление нерва в шее) – справа или слева, часто неприятные ощущения двусторонние; беспокойство; усталость.
Наиболее серьёзным осложнением у детей младшего возраста является обструкция дыхательных путей, которую вызывают увеличенные миндалины и лимфоузлы в области шеи и трахеи. В таком случае вводится приём кортикостероидов. Опасным для жизни осложнением является разрыв селезёнки. Причина этого заключается в её напряжении, которое может проявляться болью в животе и низким кровяным давлением. Другим серьёзным осложнением является менингит и воспаление нервов, что может привести к коме.
Почему болит голова и мышцы в шее, увеличиваются лимфоузлы? Другие причины
1. Инфекционные заболевания: грипп, простуда (усталость, болит голова, присутствует боль в шее – справа или слева, либо двусторонне, сводит мышцы, присутствует миалгия, артралгия, жар, озноб, заложенность носа, увеличенные лимфоузлы, сухой кашель, боль в горле, затруднение глотания, головокружение); ангина, тонзиллит (усталость, боль в горле, опухшие гланды, затруднение глотания, увеличенные лимфоузлы на шее, температура, озноб, заложенность носа); вирус герпеса (зуд, волдыри, увеличенные лимфоузлы (в шее и других местах), жар); краснуха (сыпь, увеличение лимфоузлов в области шеи и других местах, жар, боли в суставах и головные боли (справа, слева, двусторонне), сводит мышцы); дифтерия (жар, боль в области головы и шеи (справа, слева, двусторонне), болезненное глотание, увеличение лимфоузлов, одышка); сифилис (увеличенные лимфатические узлы, боли в мышцах (в частности, в шее, как справа, так и слева), боли в суставах, в спине, сыпь, нарушения моторики позвоночника, усталость); токсоплазмоз (замедление реакций, жар, болит голова, шея и глаза, увеличение лимфоузлов, нарушение сна, увеличение селезёнки, усталость, боли в мышцах); СПИД, вирус ВИЧ (усталость, боли в голове и шее, миалгия, артралгия, жар, озноб, увеличенные лимфатические узлы).
2. Лимфедема, лимфатический отёк (давление в поражённой области, отёк, как правило, ног, увеличение лимфоузлов в области шеи и других местах, усталость).
3. Защемление шейного нерва (защемление нерва характерно состоянием, когда болит голова и шея, иногда хрустит в шейной области). Симптомы проявляются и в ночное время (вот почему с утра человек чувствует усталость и подавленность).
4. Межпозвоночная грыжа (грыжа характерна давлением и болезненностью в поражённой области, часто хрустит в поражённой области). Межпозвоночная грыжа, как и защемление требует вмешательства специалиста.
5. Воспаление молочной железы (болезненность груди, покраснение и жёсткость кожи в области воспаления, увеличение подмышечных лимфатических узлов, а также гриппоподобные симптомы, недомогание, лихорадка, озноб).
6. Воспаление костного мозга, остеомиелит (повышение температуры вплоть до жара, боли в костях, увеличение лимфатических узлов).
7. Раковые заболевания (усталость, ночная потливость, длительный жар, потеря аппетита, потеря веса).
8. Аутоиммунные заболевания.
9. Ревматоидный артрит (боль, воспаление суставов, снижение их подвижности, деформация).
10. Волчанка (усталость, боль в суставах, груди, красная сыпь, прыщи, выпадение волос, повышенная чувствительность к свету, одышка, кровь в моче).
11. Синдром хронической усталости (длительная усталость, не проходящая после сна, температура, боль в горле, увеличение лимфатических узлов, головная, мышечная, суставная боль).
Лекарства
Современная медицина в случае увеличения лимфатических узлов предполагает приём антибиотиков, в тяжёлых случаях (в частности, если имеет место межпозвоночная грыжа) может быть принято решение в пользу хирургического удаления поражённых узлов.
Источник
К такому воспалению может привести что угодно: серьезные патологии или банальное переутомление. Но чаще всего увеличенные лимфоузлы под челюстью сигнализируют о проблемах с зубами или лор-органами. Чтобы улучшить состояние больного, следует вначале устранить эти проблемы – и лимфоузлы со временем сами придут в норму.
Если после выздоровления подчелюстные лимфоузлы все так же увеличены, значит, причина связана с более серьезными заболеваниями. В этом случае потребуется полная диагностика и грамотно подобранное комплексное лечение.
Лимфоузлы: какую роль выполняют в организме
Поднижнечелюстные лимфоузлы отвечают за безопасность носа, горла, ушей, зубов. Они выполняют функции своеобразного фильтра в организме. Именно через них протекает лимфатическая жидкость – основа иммунной системы. При повышении активности вредных бактерий фильтры мгновенно реагируют: выпускают лимфоциты, чтобы истребить патогенную флору.
Специалисты выяснили, что в организме взрослого человека имеется около двух литров лимфы и более четырехсот узлов. Больше всего их находится под мышками, на шее, голове и в паху. Каждый отвечает за близлежащий орган или клетки тканей, которые располагаются рядом.

Как определить воспаление челюстного лимфоузла
При воспалении подчелюстных лимфоузлов лечение должно быть не только симптоматическим, но и направленным на устранение предпосылок, которые привели к развитию болезни. Для их определения проводится тщательная диагностика, с помощью которой можно или выявить, или исключить серьезные инфекционные заболевания.
Воспаление лимфоузлов называют лимфаденитом. Недуг возникает стихийно, имеет три стадии развития. Признаки болезни проявляются в следующем порядке:
- Первая стадия характеризуется увеличением узлов и болезненностью при пальпации. Воспаление лимфатического узла под челюстью сопровождается бессонницей, головной болью, хронической усталостью, повышением температуры.
- Вторая стадия (смотрите фото) протекает остро, ярко выражено внешне: опухоль видна даже без пальпации. Ограничивается движение челюсти, появляется сильная боль, повышается температура, образуются нагноения.
- Третья стадия. Боль распространяется на другие зоны: шею, ключицы, подмышечные впадины. Наблюдаются воспаления нервов зубов, горла.
Когда происходит увеличение подчелюстных лимфоузлов, то первое, что надо сделать – это посетить врача. Нельзя заниматься самолечением. Но предложить причину болезни можно. К примеру, округлая форма уплотнения свидетельствует о наличии болезней лор-органов. Лимфоузел при таких недугах остается подвижным.
Если болит лимфоузел на шее слева под челюстью, то и источник воспаления находится рядом. Не исключается лимфаденит, который может развиться вследствие механических повреждений тканей самого узла.
Чтобы устранить воспаление, пациенту понадобится обратиться к врачу-отоларингологу. Он предложит пациенту сдать ряд анализов:
- ультразвуковую диагностику;
- анализы крови;
- лабораторные исследования на геномы бактерий;
- флюорографическую диагностику;
- пробы на реактивный белок и другие.
Лор-врач может направить пациента к другим специалистам для обнаружения иных заболеваний: к пульмонологу, гематологу, инфекционисту, онкологу, стоматологу, иммунологу.
Почему болят лимфоузлы под челюстью
Сам больной может с помощью простой пальпации определить, увеличился лимфоузел под челюстью или нет. Ведь не всегда воспаление протекает с ярко выраженными симптомами. Многое зависит от вида и степени тяжести инфекции в организме.
После обнаружения уплотненного, увеличенного в размерах узла, необходимо посетить врача. Перед походом в клинику, нужно подготовить ответы на вопросы, которые задаст специалист, чтобы провести грамотную диагностику:
- Припомните, не было ли в ближайшее время травм в том районе, где опухла шея, не получали ли вы ударов в данном месте. Если это ушиб, то в ближайшее время травма рассосется.
- Вспомните, какими лекарственными формами вы лечились. Некоторые препараты провоцируют воспаление подобного рода. К таким таблеткам причисляются средства, которые прописывают больным эпилепсией, вакцины от брюшного тифа и некоторые другие.
Когда лимфоузлы под челюстью болят при нажатии, причины явления могут таиться в том, что пациент болен серьезной патологией. Если узел увеличился в диаметре в полтора раза, значит иммунная система сама не в силах справиться с воспалительным процессом в организме – нужна помощь извне.
При обнаружении узла, который через некоторое время становится на ощупь мягким, пациенту необходимо лечение антибактериальным препаратами. Это может свидетельствовать о том, что лимфатический узел так и не смог противостоять воспалительному процессу и допустил распространение инфекции дальше по организму.
Воспаление лимфоузлов под челюстью: причины
Воспаление лимфатических узлов называют лимфаденитом. Как уже упоминалось ранее, данное состояние – реакция иммунитета на поражения организма микробами, вирусами.
При несвоевременном лечении развивается флегмона, тяжелая форма которой заканчивается сепсисом. Поэтому не рекомендуется заниматься самолечением.
Чаще всего первопричиной лимфаденита становится инфекция. В детском возрасте воспалительный процесс протекает куда сложнее: с высокой температурой тела и болью. Взрослые переносят недуг легче. Увеличение лимфатических узлов всегда происходит в сопровождении целого ряда болезней, к ним можно отнести: тонзиллит, фарингит, отит, пульпит, ларингит, кариес, фронтит, гайморит.
Еще одной причиной воспаления подчелюстных лимфоузлов являются острые респираторные заболевания, грипп. Процесс свидетельствует об отличной работе иммунитета. При таких недугах характерны симптомы, указывающие на то, что лимфоциты активно борются с вирусами и инфекциями.
- слабость, повышенная температура тела;
- мигрень;
- раздражение слизистой носа, горла;
- ломота в теле.
Увеличение лимфатических узлов бывает при СПИДе, мочеполовых инфекциях, сифилисе. Только при таких патологиях увеличиваются не только подчелюстные узелки.
Системные нарушения иммунной системы тоже провоцируют болезнь лимфатической системы. Это когда в организме имеются вялотекущие воспалительные процессы:
- ревматизм;
- сывороточная патология;
- красная волчанка;
- инфекционный мононуклеоз.
При свинке (смотрите фото), инфекции в ротовой полости наблюдается припухлость узлов слева или справа под челюстью. В зависимости от того, какая сторона челюстных желез воспалена. Если опухла правая (левая) – это признак инфекции правой (левой) слюнной железы. Такое состояние сопровождается воспалительным процессом, отеком в шейной зоне. Поднижнечелюстные лимфоузлы при надавливании имеют твердую основу.
Нарушение лимфоидной системы происходит при стоматологических недугах:
- Кариес приводит к проявлениям гнойных абсцессов, которые развиваются около корня зуба, это состояние вызывает припухлость десны. В результате воспаляются узлы. Если инфекция во рту справа, то в этой части они и увеличиваются. А удаление зуба решит проблему.
- Если у взрослого человека растут зубы мудрости, тогда лимфоидная система мгновенно реагирует на процесс.
- После удаления зубов с осложнениями, данная система тоже воспринимает процесс, как угрозу иммунитету. После заживления десен все придет в норму.
- Пародонтоз, стоматит, киста, зубной камень, который способствует развитию пародонтита, отрицательно влияют на лимфообмен.
Опухоли разнообразной этиологии тоже способствуют развитию лимфаденита. При подозрении на злокачественное новообразование ни в коем случае не занимайтесь самолечением дома, нельзя греть их, массировать. Нужно срочно обратиться к специалистам.
Что делать, если воспалился лимфоузел под челюстью
Вначале установите, что является источником патологии. Учтите, в домашних условиях лечение может быть неэффективным. Да и некоторые народные методы лечения иногда несут опасность. Нельзя греть лимфатические узлы, когда они воспалены, употреблять настои из растений при неустановленной форме этиологии.
Врачи не рекомендуют лечить воспаление лимфоузлов под челюстью в домашних условиях, потому что вылечить патологию сложно, если не знаешь точного диагноза. И обычный массаж нижней подчелюстной точки грозит усугублением состояния пациента. Может произойти даже заражение крови из-за дальнейшего распространения инфекции.
Если лимфоузел под челюстью болит при нажатии, нужно сделать лишь одно – сходить к стоматологу. Особенно когда во рту воспаляются десна, такие симптомы указывают на кариес или осложнения, которые могут возникнуть после того, как человеку удалили зуб. В результате стоматологического лечения вся симптоматика заболевания исчезнет. То же самое произойдет, когда будут устранены все воспаления лор-органов, вырастет зуб мудрости либо пройдет грипп, ОРВИ.
Если лимфоузлы под челюстью воспалились из-за поражения бактериями, лечение болезни надо проводить комплексно. После обращения к врачу-специалисту пациент получит рекомендации. Только прежде доктор установит природу заболевания, получив результаты обследования расположенных рядом тканей и органов. Понадобится пропить дома антибиотики. Какой тип препаратов употреблять, станет понятно после анализа на бакпосев. Чаще всего врачи назначают антибиотики широкого спектра действия.
Если лимфоузел под челюстью воспалился из-за аллергической реакции, лечить его придется антигистаминными препаратами. Также не помешает обратиться к врачу-аллергологу. Он сможет определить, что или кто является раздражителем, для скорейшего выздоровления будут назначены еще и физиотерапевтические процедуры.
Что делать, чтобы лимфоузел под челюстью никогда не болел
Каждый пациент и сам в силах предотвратить воспаление лимфоузлов нижней челюсти. Для этого надо применять меры профилактики. Основная их задача – бережно относиться к своему здоровью.
- Когда на улице стужа, надевайте одежду, соответствующую погоде. Иначе вам грозит переохлаждение, которое в последующем спровоцирует простудное заболевание. Что потянет за собой неприятные последствия.
- Укрепляйте свою иммунную систему. Проводите постепенные закаливания, употребляйте природные витаминные формы (фрукты, овощи), добавьте в свой рацион алоэ, мед, эхинацею. Обязательно занимайтесь спортом.
- Не ходите в холодную погоду без шарфов, шапок. Обычный холодный ветер может стать источником воспаления лимфоидной системы.
- Вовремя лечите кариес, не игнорируйте заболевание. Если вам все же удаляли зуб, то выполняйте все рекомендации стоматолога для заживления десен, чтобы не развился абсцесс.
- Не запускайте лор-инфекции, они также провоцируют воспаления узлов.
Не стоит игнорировать сигналы организма о том, что инфекционные заболевания атакуют его. Ведь так вы запускаете недуг и ослабеваете иммунитет. Поэтому уже при первых признаках болезни обращайтесь к врачу.
Источник





